

Dott.ssa Valentina Moscovio iscritta all'Ordine dei Medici e degli Odontoiatri di Napoli e Provincia
Numero di Iscrizione 3010

Scopri il tuo sorriso con le FACCETTE DENTALI
Cosa sono le FACCETTE DENTALI NON INVASIVE?
Sono la soluzione semplice e non invasiva per chi vuole ritrovare il piacere di sorridere, in pochissimo tempo.
Progettate con tecnologie innovative e realizzate interamente in ceramica estetica ultrasottile e ultraresistente, le Faccette Dentali sono rifinite a mano e vengono applicate senza limare i denti.
Un trattamento estetico di estrema precisione, personalizzato e duraturo nel tempo.
Il tuo nuovo sorriso in una sola seduta!


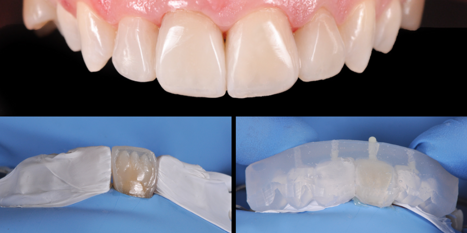
Cosa sono le FACCETTE DENTALI FLOW INJECTION?
Altra soluzione semplice e non invasiva per chi vuole ritrovare il piacere di sorridere, in pochissimo tempo e soprattutto nel modo piu' economico. Realizzate iniettando un materiale composito dedicato in una mascherina trasparente, che applicata sui denti, riproduce la forma e l'estetica del sorriso che si desidera. Non è necessario limare i denti e si possono modificare nel tempo. Scegli tu il colore del tuo sorriso facendoti consigliare dai nostri esperti.

E se fosse necessario LIMARE I DENTI ?
E' possibile applicare faccette dentali estetiche limando lo spessore da 0,5 a 1,00 mm per consentire la perfetta mimetizzazione della faccetta. A volte possiamo preferire di allineare prima i denti con un trattamento ortodontico con allineatori dentali per poi procedere all'applicazione di faccette non invasive sia in ceramica che con tecnica flow injection. Può essere necessaria qualche seduta in piu' ma il risultato sarà sempre piu' personalizzato.

QUANTE FACCETTE sono necessarie?
Non esiste un numero standard di faccette, ma consigliamo di non applicarne meno di 4 se si vuole ottenere un buon risultato. Ogni sorriso ha le sue esigenze e possiamo farti indossare il tuo nuovo sorriso con tutte le faccette disponibili, sarai tu a scegliere il risultato che piu' ti piace!




A CHI SONO ADATTE LE FACCETTE DENTALI?
A chiunque desideri migliorare il proprio sorriso modificando forma e colore dei propri denti!
Le faccette sono consigliate in caso di:
QUANTI APPUNTAMENTI SONO NECESSARI?
Per le faccette no prep possono bastare solo tre appuntamenti dal dentista!



STEP
STEP
STEP
MOCK UP*
“Lo indossi, lo scegli, lo vivi”
APPLICAZIONE FACCETTE
Applicazione faccette definitive
“Il Sorriso che avevi immaginato, adesso è Reale”
PRIMA VISITA
* eventuale modifica dello smalto
ORA PUOI
"Un giorno senza sorriso è un giorno perso"
C.C.